وصفة طبيعية للقضاء على تصبغ الجلد..لا تفوتيها !!! روعة
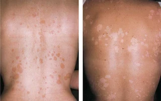
يتسبب فرط تصبغ الجلد في ظهور بقع بنية على الجلد، ويعد الميلانين المسؤول الأول عن ظهور هذه البقع التي تنتجها الخلايا الميتة.
يتسبب فرط تصبغ الجلد في ظهور بقع بنية على الجلد، ويعد الميلانين المسؤول الأول عن ظهور هذه البقع التي تنتجها الخلايا الميتة.
تظهر هذه التصبغات بسبب العديد من العوامل كالشيخوخة، التعرض المفرط لأشعة الشمس، الإضطربات الهرمونية… وتظهر هذه البقع غالبا على اليدين والوجه أو الجسم خاصة بعد التعرض لأشعة الشمس في حمامات السباحة أو الشواطئ.
إليك وصفة طبيعية للتخلص من تصبغ الجلد وإخفاء البقع البنية:
المكونات
ملعقة طعام من العسل
ملعقة طعام من اللبن
ملعقة كبيرة عصير ليمون
الإعداد
تخلط جميع المكونات حتى تحصلي على خليط متماسك ودسم، طبقي المزيج على المناطق المراد علاجها واتركيه لمدة 15 دقيقة، ثم اشطفي بالماء الدافئ إذا كان جافا، حاولي إزالة القشرة بلطف قبل الشطف.

